
Estedent Oral and Dental Health Polyclinic
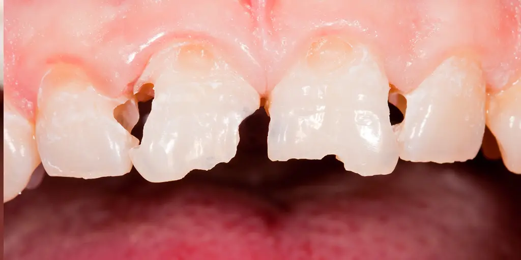
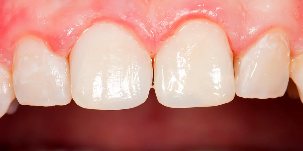
Composite filling material; It is used for operations such as closing the gaps between the teeth, removing the discoloration on the teeth, correcting the deformities, repairing the fractures and bruises. Composites are bonded to the tooth chemically, not mechanically. Thus, there is no need to remove extra material from the intact tooth tissue for retention.




Estedent Oral and Dental Health Polyclinic

Color selection is made before filling, then the tooth surface is cleaned and made suitable for filling.

After cleaning only the rotten or broken parts from the teeth, direct application is made with special adhesive systems in the mouth.
Premium Dental Care
Our healthcare organization aims to provide quality oral and dental health services to our patients by following the developing technology and treatment methods, taking into account patient satisfaction and patient rights.
Current conditions, aesthetics is as important as a healthy, well-groomed mouth and teeth. We aim to provide the best service to our patients by utilizing modern technology, new treatment methods, and combining high experience and skills, in order to maintain the healthy and sound dental and oral environment of our patients, as well as to improve their aesthetics and health.
Your comments are precious for us. Please share your comments through our social media accounts.
Estedent Oral and Dental Health Polyclinic
© 2023 All Rights Reserved.